Maharajganj News : ठंड बढ़ते ही बढ़ने लगा फेफड़ों का संक्रमण, युवा और किशोर ज़्यादा प्रभावित

    22-Nov-2025
Total Views |

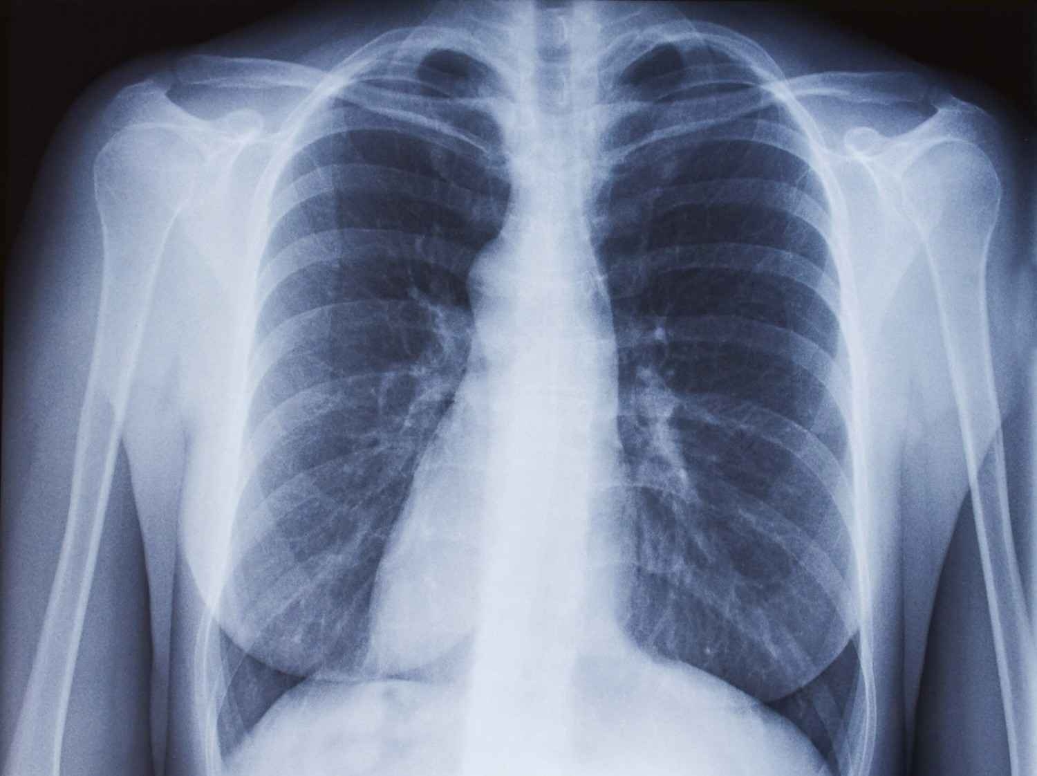
महराजगंज। ठंड बढ़ने के कारण जुकाम और बुखार के रोगियों की संख्या तेजी से बढ़ रही। युवाओं के साथ किशोरों के फेफड़ों में संक्रमण के मामले सामने आ रहे हैं। जिला अस्पताल की ओपीडी में शुक्रवार ऐसे 14 रोगी मिले। रिपोर्ट के आधार पर चिकित्सकों ने विशेष सावधानी बरतने की सलाह दी है।

शुक्रवार को जिला अस्पताल की ओपीडी में 778 मरीजों का उपचार हुआ। वायरल फीवर के रोगियों की अधिकता रही। युवाओं में ब्रोंकियोलाइटिस (फेफड़े की छोटी श्वास नली संक्रमण) के मामले भी 14 मिले। डाॅ. रंजन ने जांच रिपोर्ट के आधार पर संक्रमण की पुष्टि की। बताया कि ठंड में श्वसन संक्रमण बढ़ता है।


इसमें उपचार शीघ्र शुरू कराने की आवश्यकता होती है। इसे ब्रोंकियोलाइटिस रोग कहते हैं, इसमें लक्षण पहले सर्दी-जुकाम जैसे ही होते हैं लेकिन फिर स्थिति काफी खराब हो जाती है। बीमारी से पीड़ितों में खांसी और सांस छोड़ते समय गले से आवाज आती है और सांस छोड़ने में भी असुविधा होती है।

युवा व किशोर की इम्युनिटी वीक होती है और यह ठंड के प्रति बेपरवाह भी रहते हैं। इस वजह से वह फेफड़ों में संक्रमण की चपेट में आ रहे हैं। लेकिन घबराने की जरूरत नहीं हैं। त्वरित उपचार से यह एक सप्ताह में ठीक हो जाता है।